ESTUDIO ECOGRÁFICO DE LOS TUMORES TESTICULARES

Autores/as

  • Carmen Martínez Huertas
  • Rocío Martín Mellado
  • Ana Milena Muñoz
  • Inmaculada C. Valero Rosa
  • Virginia Jimenez Coronel
  • Mariola Gutierrez Gallardo

Palabras clave:

TUMORES TESTICULARES, poster, seram

Resumen

Objetivos Docentes
La ecografía constituye el método ideal para el estudio de la patología escrotal, adquiriendo un papel fundamental en el diagnóstico y seguimiento de los tumores testiculares, dado que alcanza una sensibilidad próxima al 100% en su detección.
El objetivo de este trabajo es hacer una revisión del cáncer testicular y los hallazgos radiológicos, fundamentalmente ecográficos, de los distintos tumores y su correlación con el tipo histológico.

Revisión del tema
• INTRODUCCIÓN:
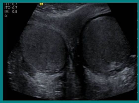
El cáncer testicular representa un 1% de las neoplasias en varones, sin embargo constituye la enfermedad maligna más frecuente en el grupo comprendido entre 15 y 34 años de edad. Se presenta en la mayoría de los casos como una masa escrotal indolora o un aumento indoloro del tamaño testicular (Figura 1).

Descargas

Los datos de descargas todavía no están disponibles.

Citas

Coursey Moreno, William C. Small, Ph D Juan C. Camacho, Viraj Master, Nima Kokabi, Melinda Lewis, Matthew Hartman, Pardeep K. Mittal, Testicular Tumors: What Radiologists Need to

Know—Differential Diagnosis, Staging, and Management. Radiographics 2015; 35:400–415.

Woojin Kim, Mark A. Rosen, Jill E. Langer, Marc P. Banner, Evan S. Siegelman, Parvati Ramchandani,. US–MR Imaging correlationin pathologic conditions of the scrotum. Radiographics 2007; 27:1239–1253

Michal Studniarek, Katarzyna SkrobiszBalandowska, Elza Modzelewska. Scrotal imaging. Journal of Ultrasonography 2015; 15: 245–258.

Paula J. Woodward, Roya Sohaey, Michael J. O’Donoghue, Douglas E. Green. Tumors and Tumorlike lesions of the testis: Radiologicpathologic correlation. Radiographics 2002; 22:189–216.

Sohaib SA, Koh DM, Husband JE. The role of imaging in the diagnosis, sataging, and management of testicular cancer. AJR 2008; 191: 387395.

Adham W.K, Raval B.K, Uzquiano , Lemos L.B.. Bilateral Testicular tumors: Seminoma and mixed germ cell tumor; Radiographics 2005, 25: 835839.

Hamm B. Differential diagnosis of scrotal masses by ultrasound. European Radiology 1997; 7: 668679.

Internet: The netherlands: ultrasoundcases 2005, Copyright © Dr. T.S.A. Geertsma, Ziekenhuis Gelderse Vallei, disponible en http://www.ultrasoundcases.info

Internet: STATdx Copyright © 2016 Elsevier. Disponible en https://my.statdx.com/

Descargas

Publicado

2018-11-22

Cómo citar

Martínez Huertas, C., Martín Mellado, R., Milena Muñoz, A., Valero Rosa, I. C., Jimenez Coronel, V., & Gutierrez Gallardo, M. (2018). ESTUDIO ECOGRÁFICO DE LOS TUMORES TESTICULARES. Seram. Recuperado a partir de https://www.piper.espacio-seram.com/index.php/seram/article/view/1921

Número

Sección

Ecografía

Artículos similares

También puede {advancedSearchLink} para este artículo.